With calving not long over and mating still very much in full swing, it may feel like it’s too early to start thinking about scanning. However, planning your scanning now will make it easier to secure the dates that suit you best, so that you can get the most out of it.
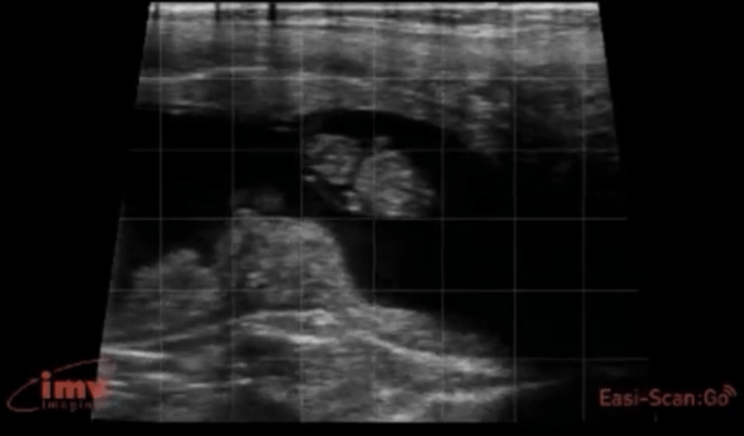
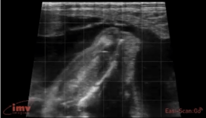
In cows, we ideally want to be scanning between 40 and 100 days after mating in order to provide the most accurate dating. Beyond 100 days, calf size has increased to the point where it becomes much more difficult to take measurements and provide corresponding dates with any accuracy.
Our view of a calf foetus at various gestation stages:
Scanning options
Considering the above, you generally have two options for trying to get accurate dates for as many cows as possible:
Option 1: Pick a scanning date where the majority of your cows are likely to be within this 40 -100 day window (generally this is about 6 weeks from the end of mating). With tighter calving patterns, this is doable, but, if your mating season runs longer, it can become a bit more difficult.
Even now, while mating is in progress, if you have a planned pull-out date for the bulls we can plan for the ideal date, and by booking in early we can make sure we’re available during the upcoming busy period for the date that suits you.
Option 2: Having two scanning days. A first, earlier scanning session to pick up the portion of the herd mated within the first six weeks, and a later scan for those that fall outside of this period, and to confirm empties. In herds with a slightly wider calving pattern, or where there’s been a difficult mating season (particularly in the first six weeks), this allows for better aging accuracy across all the cows.
This will obviously be of benefit for the upcoming calving season, but also a massive help looking back at this year's mating season, as our 3-week and 6-week in-calf rates will be more accurate. If we’re trying to fine tune things for next year, or investigate an issue during mating, this kind of accurate information is essential.
Booking in
Our front-of-house team will be able to help you with booking your ideal dates for scanning, whether you’re going with option 1 or 2, and I’d really recommend getting in touch sooner rather than later.
If you’ve any questions about which option would be best for you, or when the best time to get us out to scan would be, our vet team would be happy to discuss with you.




